Home Здоров’я Фахівці спростували найпоширеніші міфи про туберкульоз

Фахівці спростували найпоширеніші міфи про туберкульоз

by admin
0 переглядів

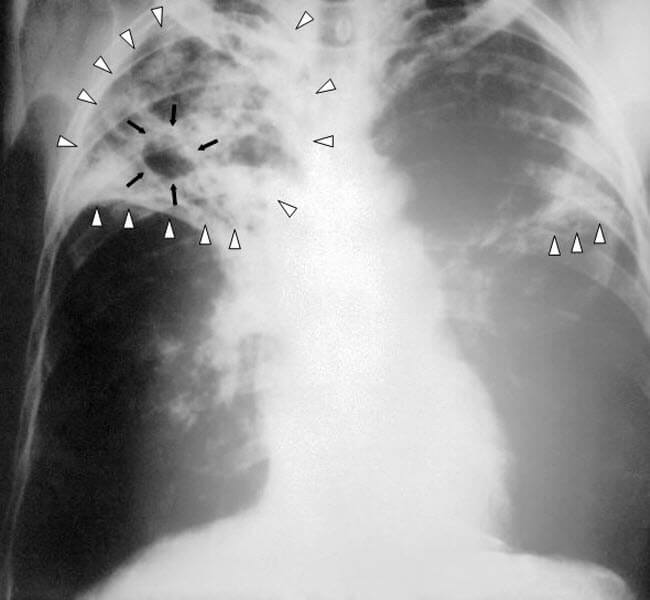
Фахівці розповіли про найпоширеніші міфи про туберкульоз. Багато з них виявилися неправдою і були спростовані експертами.

Другий міф говорить про те, що діти не вмирають від туберкульозу. Насправді від цієї недуги щорічно гине близько 250 тисяч дітей по всьому світу. Третій міф – дитину необхідно перевіряти на туберкульоз тільки в разі тривалого кашлю. Експерти заперечують це, адже іноді перших ознак хвороби може і зовсім не бути.




Щеплення БЦЖ зовсім не рятує від самої хвороби, а лише захищає від більш важких її проявів. Манту і діаскінтест теж не однакові, так як саме Манту дає більш точний результат і є менш алергенним, ніж діаскінтест.

Фахівці стверджують, що впевненість у тому, що перед тестами на туберкульоз не треба готуватися, брехня. Для точних результатів необхідно робити його через 2-4 тижні після ГРВІ. Останній міф, який дуже поширений серед мам – від тестів на туберкульоз слід відмовитися. Медики переконують, що без цієї перевірки дитину навіть не приймуть в сад або в школу.


Про проект

Arguments.kyiv.ua – новинний ресурс про всі важливі події в Україні та світі.

Новинки

КОНТАКТИ

Для нас дуже важливий зворотній зв’язок від Вас.

 

Якщо у вас виникли питання, ви можете написати нам.